Diagnostic!
Devant une image en cocarde, il faut systématiquement penser à :
-une métastase
-une tumeur gliale de haut grade
-un abcès
-un hématome en cours de résorption
-une plaque de démyélinisation récente
-séquelle de radiothérapie
ABCES CEREBRAL :
En scanner :
Processus lésionnel arrondi hypodense, avec contours spontanément iso-dense.
Prise de contraste périphérique annulaire.
Hypodensité en doigt de gant de la substance blanche périphérique en lien avec de l'oedème périlésionnel.
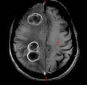
En IRM :
Lésion temporo pariétale droite arrondie, dont le centre apparaît en hypersignal de diffusion avec une restriction du coefficient apparent de diffusion et avec une coque en hypo-isosignal T2.
La lésion apparait en hyposignal T1, avec prise de contraste de la périphérie en cocarde, elle est entourée d'un œdème périlésionnel en doigt de gant.
En séquence de perfusion, absence de signe en faveur d'une néo-angiogénèse.
L'étude spectrométrique retrouve des données caractéristiques d'un abcès avec un pic en acétate et en succinate.
En scanner, typiquement, l'abcès cérébral donne une image en cocarde cernée d'un halo d'oedème. La zone centrale hypodense représente le pus de l'abcès, elle est entourée par un anneau plus ou moins épais, régulier, iso- ou hypodense et prenant fortement le produit de contraste. Cet anneau est entouré d'un halo hypodense qui représente l'oedème péricérébral.
En IRM, elle montre une lésion hypo-intense en T1, hyperintense en T2 ; la lésion est soulignée en périphérie par une intense prise de contraste. On note sur les séquences en T2 une fine couronne périphérique, régulière, nettement hypo-intense, caractéristique des abcès cérébraux. La chute de l'ADC permet d'écarter une métastase ou une tumeur nécrotique.
Exemples d'images d'abcès :



Les abcès cérébraux peuvent être secondaires à une infection régionale ou à une dissémination hématogène à partir d'un foyer thoracique ou abdominal.
L'origine de l'abcès ne peut être précisée dans un peu près 20 % des cas. Les méningites bactériennes ne se compliquent presque jamais d'abcès cérébraux. En revanche un abcès cérébral profond peut se rompre dans les ventricules et entraîner une méningite bactérienne secondaire. Le cas présenté ici était en contact avec la paroi latérale du ventricule droit, donc potentiellement à risque de dissémination intra-thécale.
Les abcès dus à des causes régionales sont uniques, alors que les abcès métastatiques sont souvent multiples.
Les principaux germes sont les streptocoques anaérobies, les entérobactéries et les stahylocoques. Chez les sujets immunodéprimés, il faut penser aux actinomycètes et à nocardia. La flore est souvent polymicrobienne.
Lors d'abcès multiples leurs disposition peut également donner une orientation sur les germes responsables : multiples lésions de petite taille à la jonction SB-SG en faveur d'une origine mycotique. Les abcès à toxoplasmes sont souvent multiples et préférentiellements situés dans la substance blanche.
Les diagnostiques différentiels ne sont pas toujours faciles à écarter :

Ici, des métastases.